
Hidrosefali, beyinde anormal miktarda beyin omurilik sıvısının (BOS) birikmesiyle karakterize edilen tıbbi bir durumdur. Bu durum, BOS’un üretimi, dolaşımı ve emilimi arasındaki dengenin bozulması sonucu ortaya çıkar ve beyin ventriküllerinin genişlemesine neden olabilir.
Hidrosefali Nedir?
Hidrosefali, Yunanca ‘su başı’ anlamına gelir ve beyin ventriküllerinde aşırı BOS birikmesini ifade eder. BOS, beyin ve omurilik çevresindeki boşluklarda dolaşan ve bu organları koruyan, besleyen ve yastıklayan berrak bir sıvıdır. Hidrosefali, bu sıvının normal akışının engellenmesi, aşırı üretilmesi veya yeterince emilmemesi durumunda ortaya çıkar. Ventriküllerin genişlemesi, çevre dokulara baskı yapabilir ve beyin fonksiyonları üzerinde zararlı etkilere yol açabilir.
Hidrosefali Belirtileri Nelerdir?
Hidrosefali’nin belirtileri yaşa ve hastalığın ilerleme hızına göre değişiklik gösterebilir. Bebeklerde ve küçük çocuklarda görülen belirtiler şunları içerebilir:
- Anormal büyük kafa boyutu
- Fontanelde (bebeğin kafasının üstündeki yumuşak nokta) şişkinlik
- Miskinlik veya aşırı uykululuk
- İrritabilite
- Emmede zorluk veya beslenme sorunları
- Gözlerde anormal hareketler veya “güneş battı” gözleri olarak bilinen bir durum
Yetişkinlerde ve daha büyük çocuklarda ise hidrosefali şu belirtilerle kendini gösterebilir:
- Baş ağrısı
- Bulantı ve kusma
- Koordinasyon ve denge sorunları
- Zihinsel fonksiyonda azalma
- Görme problemleri
- Yürüme zorluğu
- İnkontinans
Hidrosefali Neden Olur?
Hidrosefali’nin birden fazla potansiyel nedeni bulunmaktadır ve bunlar arasında şunlar yer alabilir:
- Konjenital Hidrosefali: Bebeklerde doğuştan gelen veya genetik bir anormallik sonucu ortaya çıkan hidrosefalidir.
- Kazanılmış Hidrosefali: Beyin yaralanmaları, inme, enfeksiyonlar, tümörler veya beyin kanamaları gibi olaylar sonrası gelişebilir.
- Kominike Olmayan (Obstrüktif) Hidrosefali: BOS’un beyin ventriküllerinden çevre dokulara akışının bir blokaj sonucu engellenmesidir.
- Kominike (Non-Obstrüktif) Hidrosefali: BOS’un emilimindeki problemler nedeniyle gelişir ve genellikle beyin ve omurilik zarlarını etkileyen inflamasyon sonrasında ortaya çıkar.
Hidrosefali, uygun tedavi edilmediği takdirde ciddi ve kalıcı hasara veya hatta ölüme yol açabilecek ciddi bir durumdur. Bu nedenle, şüpheli semptomlar gözlemlendiğinde hemen tıbbi yardım almak önemlidir. Tedavi genellikle cerrahi müdahale gerektirir ve bir şantın yerleştirilmesi veya endoskopik üçüncü ventrikülostomi gibi prosedürlerle BOS akışının normale döndürülmesi amaçlanır. Her hastanın durumu benzersiz olduğundan, tedavi yaklaşımları kişiye özgü olmalıdır.
Hidrosefali, beyindeki beyin omurilik sıvısının (BOS) anormal birikimiyle karakterize edilen ciddi bir tıbbi durumdur. Erken tanı ve uygun tedavi, olası uzun vadeli komplikasyonların önlenmesi için hayati önem taşır.
Hidrosefali Teşhisi Nasıl Konulur?
Anne Karnındaki Bebeklerde Fetal MR
Fetal hidrosefali teşhisi genellikle gebeliğin ikinci veya üçüncü trimesterinde konulur. Ultrason taramaları ile saptanan anormallikler, daha detaylı inceleme gerektirdiğinde fetal MR ile doğrulanabilir. Fetal MR, gelişmekte olan bebeğin beyin yapısını ve BOS akışını ayrıntılı olarak gösterir ve potansiyel hidrosefaliyi belirlemede etkili bir yöntemdir.
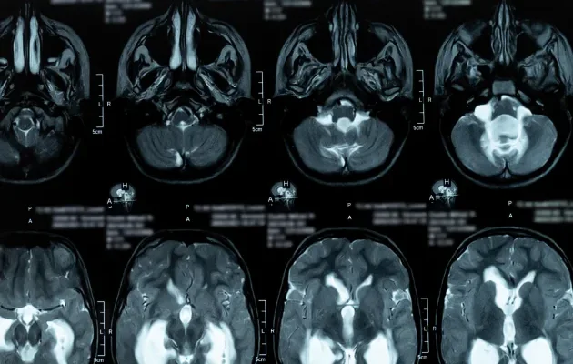
Yetişkinlerde MR BOS Akım
Yetişkinlerde ve büyük çocuklarda hidrosefali teşhisi için MR BOS Akım kullanılır. Bu teknik, BOS’un beyin ventriküllerinden nasıl akış gösterdiğini detaylı bir şekilde gösterir ve herhangi bir akış engeli veya anormalliği ortaya çıkarabilir. Bu görüntüleme yöntemi, hidrosefali varlığını doğrulamanın yanı sıra, teşhisin kesinleştirilmesi ve uygun tedavi planının yapılması için kritik bilgiler sağlar.
Hidrosefali Tedavisi Nasıl Yapılır?
Hidrosefali tedavisi, genellikle cerrahi yöntemlerle gerçekleştirilir ve tedavinin amacı BOS birikiminin neden olduğu basıncı azaltmaktır. İki ana cerrahi tedavi yöntemi şunlardır:
Ventriküloperitoneal (VP) Şant: Bu en yaygın tedavi yöntemidir. Bir şant sistemi, fazla BOS’un beyinden karın boşluğuna yönlendirilmesini ve orada emilmesini sağlamak için kullanılır.
Endoskopik Üçüncü Ventrikülostomi: Bu minimal invaziv cerrahi prosedürde, beyin ventriküllerinden birinde bir delik açılarak BOS’un akış yolu değiştirilir ve doğal emilim yollarına izin verilir.
Her iki cerrahi prosedür de riskler taşıyabilir ve genellikle uzun vadeli izleme gerektirir. Şant sistemleri tıkanabilir veya enfekte olabilir; bu nedenle düzenli tıbbi takip önemlidir. Endoskopik prosedürler, şant yerleştirmeye uygun olmayan hastalar için bir alternatif sunar, ancak her durum için uygun olmayabilir.
Hidrosefali tanısı konulan hastaların tedavi ve takibi, nöroloji, nöroşirürji ve pediatri gibi birçok tıbbi disiplini içerebilir. Her hastanın durumu farklı olduğu için, tedavi planları bireyselleştirilmelidir ve her hastanın özel ihtiyaçlarına göre ayarlanmalıdır. Erken teşhis ve müdahale, hidrosefali hastalarının yaşam kalitesini önemli ölçüde iyileştirebilir ve uzun vadeli sağlık sonuçlarını optimize edebilir.