
Uzmanlık alanımızda, ürolojik sorunları olan hastaların tanı ve takibinde en gelişmiş görüntüleme tekniklerini kullanarak kesin ve doğru teşhisler koymaktayız. MR Ürografi, ürolojik sistemdeki sorunları değerlendirmek ve belirlemek için kullanılan non-invaziv bir görüntüleme yöntemidir.
Hastalarımızın gereksinimlerine uygun olarak kişiselleştirilmiş bir tarama planı oluşturmakta ve en son teknolojiye sahip cihazlarımızı kullanarak yüksek çözünürlüklü görüntüler elde etmekteyiz. Hastalarımızın konforu ve güvenliği bizim önceliğimizdir ve bu nedenle tüm hizmetlerimizi en üst düzeyde sunmaktayız.
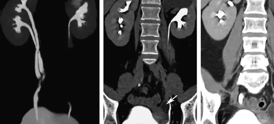
MR Ürografi ile Hangi Hastalıklar Teşhis Edilir?
MR Ürografi, ürolojik sistemdeki çeşitli hastalıkların teşhis edilmesinde kullanılan bir görüntüleme yöntemidir. Mr ürografi bu bölgede yapılmış olan cerrahi operasyonların başarısını ölçmek için operasyon sonrası da istenebilmektedir. Bu yöntem genellikle aşağıdaki hastalıkların teşhisinde yardımcı olur:
- Üriner sistem taşları: MR Ürografi, böbrek, mesane veya idrar yollarında bulunan taşları tespit etmek ve yerlerini belirlemek için kullanılır.
- Üriner sistem tümörleri: Böbrek, mesane veya üreter gibi üriner sistemin kanserli tümörlerini teşhis etmek için bu görüntüleme yöntemi tercih edilir.
- Üriner sistem enfeksiyonları: MR Ürografi, idrar yolu enfeksiyonlarının nedenini ve yayılımını değerlendirmede etkili bir araçtır.
- Üriner sistem darlıkları veya tıkanıklıkları: Üreter veya üretra gibi üriner sistemdeki darlık veya tıkanıklıkların tespiti ve yerlerinin belirlenmesi için MR Ürografi kullanılır.
- Üriner sistem anormallikleri: Doğuştan gelen veya edinilmiş üriner sistem anormalliklerinin teşhisinde bu görüntüleme yöntemi önemli bir rol oynar.
MR Ürografi, üriner sisteme yönelik detaylı ve kesin bir değerlendirme sağlayarak hastalıkların tanısını koymakta ve tedavi planlamasına yardımcı olmaktadır. Tedavi planında taş, darlık, enfeksiyon ve tümörlerin yer ve büyüklükleri belirlendikten sonra tedavinin metodu belirlenmektedir.
MR Ürografi Zararlı mı?
MR (Manyetik Rezonans) görüntüleme yöntemi, radyasyon içermez. Bu nedenle, MR ürografi gibi MR tabanlı görüntüleme yöntemlerinin radyasyon riski bulunmamaktadır. MR ürografi çekiminde bazı durumlarda kontrast madde kullanılabilir. Kontrast madde bazı durumlarda alerjik reaksiyonlara neden olabilir. Kontrast maddeye karşı alerjisi olan veya risk faktörleri bulunan kişilerin bu durumu doktorlarıyla paylaşmaları önemlidir. Mr ürografi cerrahi bir yöntem olmadığı ve bt, röntgen cihazları gibi radyasyon kullanmadığı için zararsız olarak kabul edilmektedir.
MR Ürografi Çekiminde Dikkat Edilmesi Gerekenler
Tüm MR çeşitlerinde olduğu gibi MR ürografi çekiminde de bazı dikkat edilmesi gereken noktalar bulunmaktadır. Bunlar şunlardır:
Kontrast maddeye karşı alerjiniz varsa veya daha önce kontrast madde kullanımı sırasında olumsuz reaksiyonlar yaşadıysanız, bu durumu doktorunuzla paylaşmalısınız. Doktorunuz, alternatif bir görüntüleme yöntemi önerebilir veya gerekli önlemleri alabilir.
Hamilelik durumunu doktorunuzla paylaşmalısınız. Bazı durumlarda, hamilelik sırasında MR çekimi önerilmeyebilir. Bu nedenle, hamile olduğunuzu veya hamilelik şüphesi taşıdığınızı doktorunuza bildirmeniz önemlidir.
Vücutta metal implantlar (kalp pili, metal protezler vb.) veya metal parçalar bulunuyorsa, bunları doktorunuza bildirmelisiniz. MR cihazları manyetik alanlar kullanır, bu nedenle metal nesneler cihazla etkileşime geçebilir ve güvenlik riski oluşturabilir.
MR çekimi sırasında sakin ve hareketsiz olmanız önemlidir. Cihazın çalışması sırasında hareket etmek, görüntülerin kalitesini etkileyebilir. Uygun bir şekilde pozisyon almanız ve talimatları takip etmeniz gerekmektedir.
Bazı durumlarda kontrast madde kullanılabilir. Bu durumu doktorunuzla konuşmalı ve kontrast maddeye karşı herhangi bir alerjiniz veya böbrek probleminiz varsa bunu belirtmelisiniz.
MR ürografi çekimi öncesinde doktorunuz size gerekli talimatları verecektir. Bu talimatlara dikkatlice uymanız, doğru ve etkili bir görüntüleme elde etmek için önemlidir. MR ürografi çekimi öncesinde bu durumlardan herhangi birine sahipseniz doktorunuzu bilgilendirmelisiniz.
MR Ürografi Fiyatları Ne Kadar?
MR ürografi hizmeti veren sağlık kuruluşumuz, modern tıbbi görüntüleme teknolojisiyle donatılmış uzman kadrosuyla hastalarına hizmet vermektedir. MR ürografi çekimi, hastalarımızın ürolojik sorunlarının teşhisinde ve tedavi sürecinin yönetiminde önemli bir rol oynamaktadır.
Hizmetlerimizin fiyatlandırması, çeşitli faktörlere dayanmaktadır. Bunlar arasında kullanılan görüntüleme yöntemi, çekim süresi, kullanılan kontrast madde ve sağlık kuruluşumuzun politikaları yer almaktadır. Bu nedenle, kesin bir fiyat bilgisi almak için sizleri sağlık kuruluşumuzla iletişime geçmeye davet ediyoruz. MR ürografi fiyatları hakkında bilgi için telefon numaramız ve whatsapp bilgi hattımızdan bize ulaşabilirsiniz.