- Anasayfa
- Kurumsal
- Longevity
- Medikal Estetik
- Akne İzi Tedavisi
- Altın İğne (Fraksiyonel Radyofrekans)
- Botoks
- Dermapen
- Dermaroller
- Dövme Silme
- G5 Masajı
- Glutatyon Tedavisi
- H-100 Aşısı
- HIFU
- Hydrafacial
- İp Askı (Fransız Askısı)
- Karbon Peeling
- Kavitasyon
- Kimyasal Peeling
- Kılcal Damar Tedavisi
- Leke Tedavisi
- Lenf Drenaj Masajı
- Lipoliz İğnesi
- Masseter Botoks
- Medikal Cilt Bakımı
- Migren Botoksu
- Örümcek Ağı Estetiği
- Ozon Tedavisi
- Paris Işıltısı
- Plazma Pen (Plexr)
- PRP ile Yüz Gençleştirme
- PRP Saç Tedavisi
- Radyofrekans ile Cilt Sıkılaştırma
- Saç Mezoterapisi
- Soğuk Lipoliz
- Somon DNA Tedavisi
- Terleme Botoksu
- Vücut Mezoterapisi
- Yüz Mezoterapisi
- Premium Uygulamalarımız
- Radyoloji
- 1.5 Tesla Emar
- 4D Boyutlu Ultrason
- Akciğer Tomografisi
- MR Anjiyografi
- Akciğer Biyopsisi
- Batın Ultrason
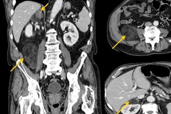
- Bilgisayarlı Tomografi
- Biyopsi
- Böbrek Sintigrafisi
- Defekografi
- Dijital Radyografi
- Doppler Ultrason
- Dual Enerji BT
- Emar
- Embolizasyon
- Floroskopi
- Herniografi
- Karaciğer Biyopsisi
- Kardiyak BT
- Kemik Sintigrafisi
- Kemik Dansitometrisi
- Kontrastlı Emar
- Mamografi
- Meme Biyopsisi
- MR Spektroskopi
- Penil Ultrason
- Perfüzyon Emar
- PET CT
- Prostat Biyopsisi
- Röntgen
- Sanal Kolonoskopi
- Sintigrafi
- Tiroid Sintigrafisi
- Tüm Vücut MR
- Ultrasonografi
- Üriner Ultrason
- Ürografi MR
- Kuantum Teknolojisi
- Galeri
- S.S.S
- İletişim









