
Kardiyak Koroner BT Nedir?
Kardiyak Koroner BT (Kardiyak Koroner Tomografi), kalbin ve özellikle koroner arterlerin detaylı görüntülerini elde etmek için kullanılan ileri bir görüntüleme yöntemidir. Bu tarama, kalp damarlarının yapısını, kan akışını ve herhangi bir daralma veya tıkanıklığı göstermek amacıyla kullanılır. Kardiyak Koroner BT, kalp hastalıklarının teşhisinde ve risk değerlendirmesinde önemli bir araçtır ve özellikle koroner arter hastalığının erken teşhisinde etkilidir.
Bu tarama yöntemi, geleneksel anjiyografiye göre daha az invazivdir ve hastalar için daha az risk taşır. Yüksek çözünürlüklü görüntüler sağlayarak, koroner arterlerdeki daralmaları, plak oluşumlarını ve kalp kasının durumunu değerlendirmekte büyük öneme sahiptir. Kardiyak Koroner BT, ayrıca kalp hastalıklarının önlenmesi ve yönetiminde de kullanılır, çünkü bu tarama ile hastalığın erken evrelerinde müdahale edilebilir.
Kardiyak Koroner BT Neden Çekilir?
Kardiyak Koroner BT, kalp ve koroner arterlerdeki problemleri teşhis etmek için kullanılır. Bu tarama, özellikle koroner arter hastalığı şüphesi olan hastalarda, göğüs ağrısı ve diğer kalp hastalığı belirtileri gösteren kişilerde yapılır. Ayrıca, kalp hastalığı risk faktörleri yüksek olan kişilerde, hastalığın erken teşhisinde ve risk değerlendirmesinde kullanılır.
Kardiyak Koroner BT, koroner arterlerdeki plak oluşumunu ve daralmaları belirlemek, anormal kan akışını tespit etmek ve kalp hastalıklarının teşhisinde önemli bir rol oynar. Ayrıca, kalp krizi geçiren veya bypass ameliyatı gibi cerrahi müdahaleler geçirmiş hastalarda, damarların durumunu kontrol etmek ve takip tedavisi için de kullanılır.
Kardiyak Koroner BT Hangi Durumlarda Çekilir?
Kardiyak Koroner BT, genellikle göğüs ağrısı yaşayan ve koroner arter hastalığı riski taşıyan hastalarda yapılır. Bu tarama, özellikle tipik olmayan göğüs ağrıları yaşayan ve geleneksel stres testlerinden belirsiz sonuçlar alan hastalarda tercih edilir. Ayrıca, koroner arter hastalığı için diğer risk faktörleri (yüksek tansiyon, yüksek kolesterol, şeker hastalığı, ailede erken yaşta kalp hastalığı öyküsü) bulunan kişilerde de bu tarama önerilir.
Kardiyak Koroner BT ayrıca, kalp cerrahisi veya stent yerleştirme gibi müdahalelerden sonra damarların durumunu değerlendirmek için kullanılır. Bu tarama, kalp yapısında doğumsal anomalileri veya kalp kası hastalıklarını belirlemede de etkili olabilir. Kardiyak Koroner BT, kalp hastalıklarının erken teşhisi ve uygun tedavi planlaması için kritik bir araçtır ve bu sayede kalp krizi gibi ciddi komplikasyonların önlenmesine yardımcı olabilir.
Kardiyak Koroner BT ile Hangi Hastalıklar Teşhis Edilir?
Kardiyak Koroner BT ile öncelikle koroner arter hastalığı teşhis edilir. Bu tarama yöntemi, koroner arterlerdeki daralmaları ve plak oluşumlarını tespit ederek, kalp krizi riskini değerlendirir. Ayrıca, bu tarama kalp kası hastalıkları, kalp kapakçık problemleri ve kalbin yapısal anomalileri gibi çeşitli kalp hastalıklarının teşhisinde de kullanılır.
Kardiyak Koroner BT, kalp damarlarında kireçlenme (ateroskleroz) ve kalp kasının kan akışındaki anormallikleri belirlemekte de önemlidir. Ayrıca, kalp cerrahisi veya stent yerleştirme sonrası damarların durumunu izlemek için de kullanılır. Bu tarama, kalp hastalıklarının erken evrelerinde müdahale edilmesini sağlar ve bu sayede daha ciddi komplikasyonların önlenmesine yardımcı olur.
Kardiyak Koroner BT Nasıl Yapılır?
Kardiyak Koroner BT taraması yapılırken, hasta genellikle sırtüstü yatar ve hareketsiz kalmalıdır. Tarama sırasında, BT cihazı kalp ve koroner arterlerin kesitsel görüntülerini elde eder. Bu işlem sırasında, hastanın kalp atım hızı kontrol altında tutulur ve bazen kalp atım hızını yavaşlatmak için ilaç verilir. Bu, daha net ve kesin görüntüler elde etmek için gereklidir, çünkü kalbin hareketi görüntü kalitesini etkileyebilir.
Çoğu durumda, taramadan önce kontrast madde damar yoluyla verilir. Bu, koroner arterlerin ve kalbin diğer yapılarının daha net görüntülenmesini sağlar. Tarama süreci genellikle hızlıdır ve birkaç dakika içinde tamamlanır. Tarama tamamlandıktan sonra, hastanın kalp atım hızı ve genel durumu gözlemlenir ve herhangi bir yan etki olup olmadığı değerlendirilir. Elde edilen görüntüler, daha sonra bir radyoloji uzmanı tarafından değerlendirilir ve hastanın durumuna göre tedavi önerilerinde bulunulur. Kardiyak Koroner BT, kalp hastalıklarının tanısında ve tedavisinde önemli bir rol oynar ve hastalığın erken evrelerinde müdahale edilmesine olanak tanır.
Kardiyak Koroner BT Çekiminde Dikkat Edilmesi Gerekenler
Kardiyak Koroner BT çekimi sırasında, hastaların güvenliği ve rahatı için bazı önemli hususlara dikkat edilmesi gerekmektedir. İlk olarak, hastanın hareketsiz kalması çok önemlidir, çünkü herhangi bir hareket görüntü kalitesini bozabilir. Ayrıca, tarama sırasında hastaların kalp atım hızları düzenli olarak izlenmelidir. Bazı durumlarda, kalp atım hızını düşürmek için ilaç kullanılabilir. Hastaların alerjik reaksiyonlar veya özel sağlık durumları hakkında sağlık personelini bilgilendirmesi önemlidir, özellikle kontrast madde kullanılacaksa. Hamilelik ihtimali olan kadınlar, bu durumu taramadan önce sağlık personeline bildirmelidir, çünkü BT taraması fetüse zarar verebilir.
Kardiyak Koroner BT Fiyatları
Kardiyak Koroner BT fiyatı, çeşitli faktörlere bağlı olarak değişebilir. Bu faktörler arasında taramanın yapıldığı coğrafi konum, sağlık hizmeti sağlayıcısının türü ve kullanılan teknoloji yer alır. Ayrıca, kontrast madde kullanımı veya ek görüntüleme işlemleri maliyeti artırabilir. Kardiyak koroner tomografi fiyatları hakkında bilgi ve randevu için BT fiyatları sayfamızı ziyaret edebilirsiniz.
Kardiyak Koroner BT Ne Kadar Sürer?
Kardiyak Koroner BT taraması, genellikle hızlı bir işlemdir ve birkaç dakika içinde tamamlanabilir. Ancak, hasta hazırlığı ve kontrast madde verilmesi dahil olmak üzere, toplam süreç 30 dakikaya kadar sürebilir. Kalp atım hızını düşürmek için ilaç kullanılması gereken durumlarda, bu süre biraz daha uzayabilir. Tarama sürecinin kısa süreli olması, hastanın rahatlığı ve taramanın kolaylığı açısından önemlidir. Hastalar genellikle tarama sonrasında hemen normal aktivitelerine dönebilirler.
Kardiyak Koroner BT Sonuçları Ne Zaman Çıkar?
Kardiyak Koroner BT taramasının sonuçları, genellikle taramadan kısa bir süre sonra hazırlanır. Ancak, sonuçların detaylı olarak incelenmesi ve raporun hazırlanması biraz zaman alabilir. Çoğu durumda, sonuçlar birkaç gün içinde doktor ve hasta ile paylaşılır. Acil durumlarda veya özel durumlarda, sonuçlar daha hızlı bir şekilde sağlanabilir.
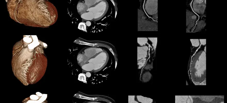
Kardiyak Koroner BT’de Neler Belli Olur?
Kardiyak Koroner BT’de, özellikle koroner arterlerdeki daralmalar, plak oluşumları ve tıkanıklıklar gibi kalp hastalıkları belirgin şekilde görülür. Bu tarama yöntemi, kalp damarlarında aterosklerozun (damar sertleşmesinin) erken belirtilerini ve derecesini tespit etmek için de kullanılır. Ayrıca, Kardiyak Koroner BT, koroner arterlerin anatomik yapısını, anomalilerini ve doğumsal kalp hastalıklarını ortaya çıkarabilir. Kalp krizi geçmişi olan hastalarda, hasar görmüş kalp dokusunun ve yeniden kanlanmanın değerlendirilmesinde de bu tarama yöntemi etkilidir.
Kardiyak Koroner BT, kalp kası hastalıkları, kalp kapakçıkları ve kalbin diğer yapıları hakkında da bilgi sağlayabilir. Tarama sonuçları, kalp hastalıklarının teşhisinde, tedavi planlamasında ve hastanın takip edilmesinde önemli bir rol oynar. Bu tarama, kalp hastalıklarının erken evrelerinde müdahale edilmesini sağlar ve ciddi komplikasyonların önlenmesine yardımcı olur.